CALL US TODAY
(416) 493-1817

Gum Grafts North York

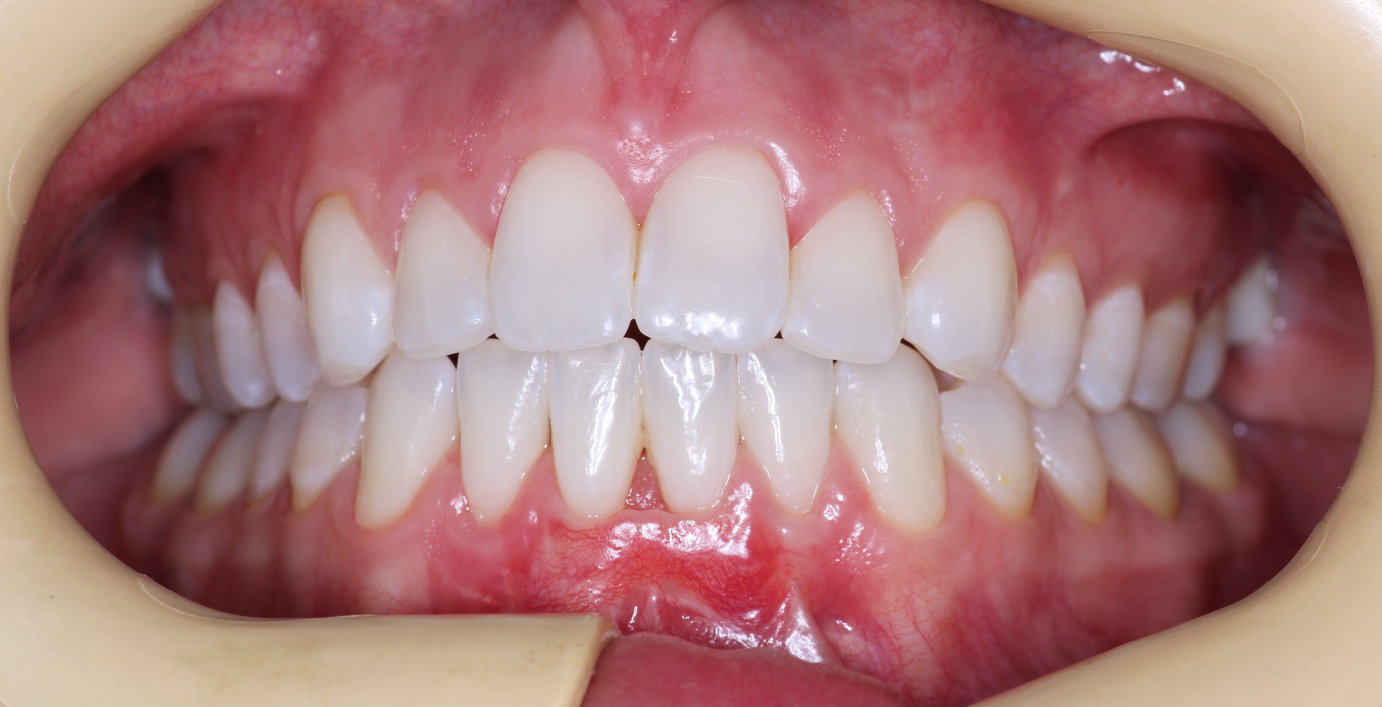
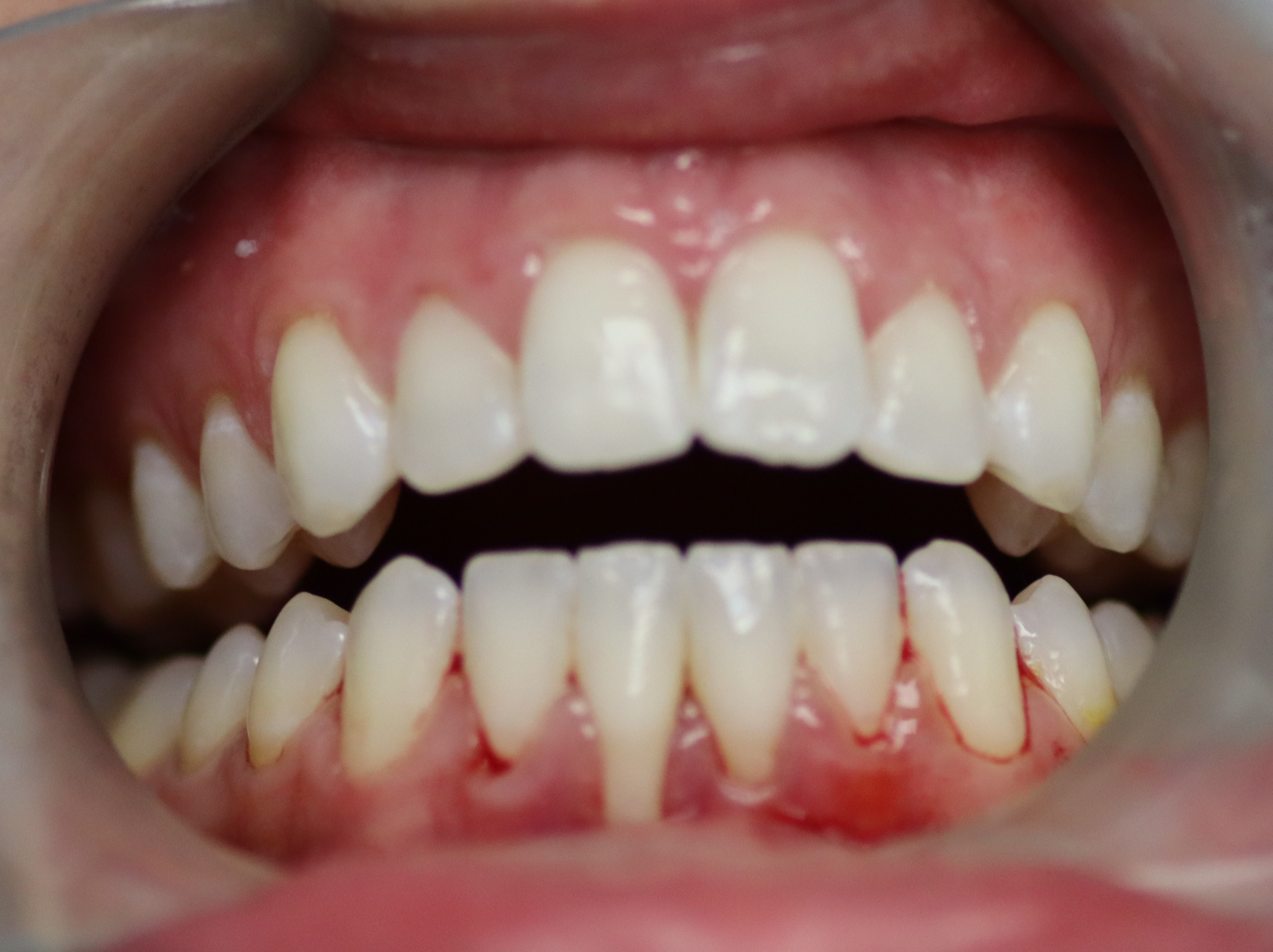
Gum Grafts - Dentist Fairview Mall North York
Gum Grafts - Dentist Fairview Mall North York

Gum grafting is a surgical procedure that helps to treat receding gums. During the procedure, tissue is taken from the roof of the mouth or another donor source and grafted onto the areas where the gums have receded. This helps to protect the teeth from further damage and can improve the appearance of the smile.

Receding gums can be caused by a variety of factors, including periodontal disease, aggressive tooth brushing, and genetic predisposition. If left untreated, receding gums can lead to tooth sensitivity, decay, and even tooth loss. Gum grafting is an effective treatment for restoring gum tissue and preventing further complications.

Call Dena Dental in North York for a consultation with our dentists regarding gum grafts.

WORKING HOURS

Monday
9:00 - 5:00

Tuesday
9:00 - 7:00

Wednesday
9:00 - 3:30

Thursday
9:00 - 5:00

Friday
9:00 - 5:00

Saturday
Appointment
9:00 - 2:00
(1 per month)

Sunday
Closed
NEW PATIENTS
WELCOME

5 Fairview Mall Dr #340,
North York, ON, M2J 2Z1

(416) 493-1817